微信掃描二維碼,點擊右上角 ··· 按鈕
轉發給朋友或分享到朋友圈
顯微成像·洞察微觀之美
Microscopic imaging, insight into the beauty of micro
顯微鏡下的芽孢桿菌|應用百科
發布時間:2025-11-07
訪問量:39
01
芽孢桿菌

桿菌的結構
芽孢桿菌是一類短桿狀的革蘭氏陽性菌,常見于泥土和水中,以能夠形成芽孢為特征。芽孢是其內生孢子,是為了對抗苛刻環境而制造的細菌休眠體。

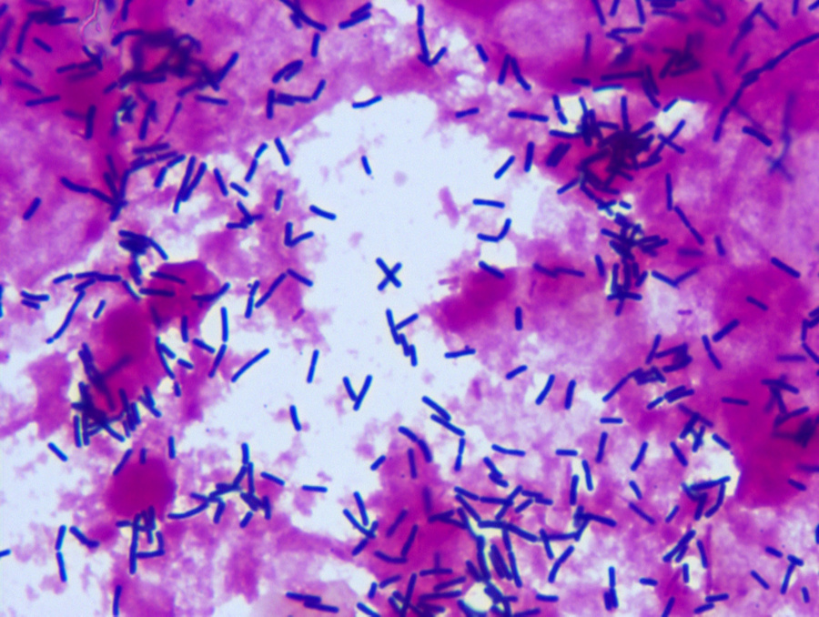
革蘭氏染色的桿菌,透明的是芽孢
芽孢桿菌種類繁多,包括枯草芽孢桿菌、蠟樣芽孢桿菌、地衣芽孢桿菌、多黏芽孢桿菌、短芽孢桿菌、炭疽芽孢桿菌等。大部分芽孢桿菌對人無害,并且還常用于工業、農業、食品等領域。
02
枯草芽孢桿菌

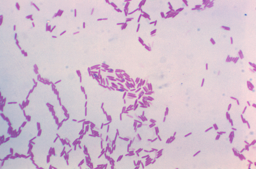
明美ML51-N拍攝的枯草芽孢桿菌
枯草芽孢桿菌因常見于枯草浸液中而得名,早在顯微鏡發明之前,古代人就已經在利用這種菌發酵制作各種產品,比如秦漢時期,中國人就已經在用枯草芽孢桿菌發酵制作納豆,部分豆豉也是枯草芽孢桿菌發酵出來的。

枯草芽孢桿菌肥料和益生菌
近代工業化生產中,枯草芽孢桿菌常用于制作固氮方向的肥料,以及針對腸道問題、水質問題方向的益生菌制劑。

熒光顯微鏡MF43-N用于芽孢桿菌研究
枯草芽孢桿菌還是微生物研究中的模式微生物,是微生物生理生化機理研究的理想模型,相關研究通常使用正置熒光顯微鏡進行。

培養基對菌膜形成的影響
比如利用熒光標記的枯草芽孢桿菌,接種在不同培養基中,對比不同培養基對菌膜(biofilm)形成的影響。

明美MF43-N下的枯草芽孢桿菌
另外,由于枯草芽孢桿菌有非致病性、胞外分泌蛋白能力強等特點,還被廣泛應用于代謝工程領域,工業應用于生產小分子化合物、大宗化學品、工業酶、藥物及保健品等生物制劑,近年相關研究成果也比較多。
03
地衣芽孢桿菌和蘇云金芽孢桿菌

顯微鏡下的地衣芽孢桿菌
地衣芽孢桿菌是另一種比較商業化的菌種,在用于發酵和制作肥料時和枯草芽孢桿菌有些區別,更適合解決農殘問題和提高作物抗病能力。

地衣芽孢桿菌的腸胃藥
枯草芽孢桿菌主要是獸用的益生菌,而地衣芽孢桿菌則可以制作成人用益生菌,我們可以在藥店和網上輕松找到相關藥品。

顯微鏡下的蘇云金芽孢桿菌
蘇云金芽孢桿菌也是一種高度商業化菌種,但用途和枯草芽孢桿菌、地衣芽孢桿菌差異比較大,它的用途是生物殺蟲劑,對菜蟲、毛蟲等鱗翅目害蟲的幼蟲具有高毒性,全球90%以上的生物殺蟲劑都是蘇云金芽孢桿菌制作的。

電鏡下的蘇云金芽孢桿菌伴胞晶體
蘇云金芽孢桿菌在生成芽孢同時會生成一顆微小的蛋白質晶體,這個晶體長度僅1-2nm,可能是菱形或者不規則形狀,需要使用電鏡才能看清。
04
有害菌:蠟樣芽孢桿菌

顯微鏡下的蠟樣芽孢桿菌
當然,芽孢桿菌也不是全都是益生菌。蠟樣芽孢桿菌就是常見的,引起食物中毒的一種細菌,尤其容易污染冷飯等高淀粉食品,造成“炒飯綜合征”,引起嘔吐、腹瀉等癥狀,國標檢測要求使用培養結合顯微鏡觀察來檢驗。

炒飯
蠟樣芽孢桿菌生長溫度范圍20-45℃,因此煮好的飯只要保溫模式放著,或放進冰箱儲存,都不怕蠟樣芽孢桿菌,而在室溫放置超過2小時的冷飯,就有被污染的風險,而且污染的飯看起來、聞起來都沒有問題,所以比較防不勝防。
05
推薦方案
一、革蘭氏染色等明場觀察

明美 ML51-N拍攝的芽孢桿菌
二、使用熒光探針的熒光觀察

MF43-N拍攝的枯草芽孢桿菌
微信掃描二維碼,點擊右上角 ··· 按鈕
轉發給朋友或分享到朋友圈